News from Mayo Clinic

Allergic Fungal Sinusitis

Allergic Fungal Sinusitis 

  • Author: John E McClay, MD; Chief Editor: Arlen D Meyers, MD, MBA

Over the past 2 decades, allergic fungal sinusitis (AFS) has become increasingly defined.[1] Historically mistaken for a paranasal sinus tumor, allergic fungal sinusitis (AFS) now is believed to be an allergic reaction to aerosolized environmental fungi, usually of the dematiaceous species, in an immunocompetent host. This is in contrast to invasive fungal infections that affect immunocompromised hosts, such as patients with diabetes mellitus and patients with AIDS. Most patients with allergic fungal sinusitis (AFS) have a history of allergic rhinitis, and the exact timing of allergic fungal sinusitis (AFS) development can be difficult to discern. Thick fungal debris and mucin, as shown below, are developed in the sinus cavities and must be surgically removed so that the inciting allergen is no longer present. Recurrence is not uncommon once the disease is removed. Anti-inflammatory medical therapy and immunotherapy are being employed to help prevent recurrence. See theimage below.
Left middle meatus with suctioning of thick allergLeft middle meatus with suctioning of thick allergic mucin from the ethmoid bulla in the center of the picture; the end of the suction is in the inferior portion of the picture.

History of the Procedure

Several decades ago, fungal disease in the nose and paranasal sinuses represented an invasive deadly disease. Management consisted of extensive surgical debridement followed by therapy with systemic and topical antifungal agents. Early on, Aspergillus, a fungus known to cause invasive disease in the sinuses, was the only fungus recovered from the paranasal sinuses in patients with allergic fungal sinusitis (AFS) because of the limitation of culture techniques and the lack of knowledge that dematiaceous fungi caused disease in the paranasal sinuses. Therefore, the disease was treated aggressively.
In 1976, Safirstein noted that the combination of polyposis, crust formation, and sinus cultures yielding Aspergillus was similar to the constellation of findings observed in allergic bronchopulmonary aspergillosis (ABPA), a benign allergic process.[2] Safirstein's description was duplicated and expanded on by reports of allergic aspergillosis of the paranasal sinuses and allergic Aspergillus sinusitis. In the late 1980s, the disease was more widely accepted as a benign fungal process and often confused with a paranasal sinus tumor on imaging studies because allergic fungal sinusitis (AFS) creates expansion of affected sinus cavities.
In 1989, Robson et al introduced the term allergic fungal sinusitis following reports that this condition could be caused by a number of different fungi, not onlyAspergillus.[3] Although the disease is becoming more recognized, confusion remains regarding diagnosis and treatment.

Problem

No consensus exists among rhinologists concerning diagnostic criteria for allergic fungal sinusitis (AFS). Several authors have made observations.
  • In 1991, Allphin and colleagues described certain features that they felt differentiated allergic fungal sinusitis (AFS) from other forms of fungal sinusitis, including radiographic presence of multiple opacified paranasal sinuses, characteristic histologic findings of allergic mucin, and laboratory evidence of allergy.
  • In 1993, Loury and Schaefer proposed multiple diagnostic criteria, including eosinophilia, immediate skin reactivity or serum immunoglobulin G (IgG) antibodies to fungal antigen, elevated total immunoglobulin E (IgE) level, nasal mucosal edema or polyposis, histopathologic findings of allergic mucin containing noninvasive fungal hyphae, and characteristic CT or MRI findings.[4]
  • In 1994, in reporting the Mayo Clinic experience, Cody et al simplified the diagnostic criteria to include only characteristic allergic mucin and either noninvasive fungal hyphae within the collected mucin or positive fungal cultures.[5]
  • In 1994, Bent and Kuhn described what probably are the most widely accepted criteria for diagnosis. On the basis of the analysis of 15 cases, 5 common characteristics were observed, including Gell and Coombs type I (IgE-mediated) hypersensitivity to fungi, nasal polyposis, characteristic radiographic findings, eosinophilic mucin without fungal invasion into sinus tissue, and positive fungal stain of sinus contents removed at the time of surgery.[6]
  • In 1997, deShazo proposed a similar set of 5 criteria, including radiographic evidence of sinusitis, presence of allergic mucin (identified grossly or histopathologically), positive fungal stain or culture from the sinus at the time of surgery, absence of contributory factors (eg, diabetes mellitus, immunodeficiencies), and absence of fungal invasion.[7]
A positive fungal culture does not confirm the diagnosis of allergic fungal sinusitis (AFS), nor does a negative culture exclude it. For example, fungi may proliferate as saprophytic growth in diseased sinuses. Furthermore, mycology laboratories vary in capability, and specimen handling significantly influences the rate of positive fungal cultures in a clinical setting. Allergic mucin remains the most reliable indicator of allergic fungal sinusitis (AFS). Because nasal polyposis and fungal disease in the sinuses are not unique to (AFS), other mycotic diseases in the differential diagnosis must be defined and include the following:
  • Invasive fungal sinusitis: This condition typically is encountered in patients who are immunocompromised or have diabetes mellitus and is characterized by angioinvasive fungal penetration of tissue. Hypesthesia, local pain, and intranasal necrosis (in an immunocompromised person) strongly suggest invasive fungal sinusitis and help to differentiate this disease from allergic fungal sinusitis (AFS).
  • Saprophytic fungal growth: This growth may be found in one or more paranasal sinus cavities of patients who have chronic suppurative rhinosinusitis. Similar growth may occur within nasal debris of patients who have undergone aggressive sinonasal surgery or those who have rhinitis sicca. Although fungal cultures may be positive, the absence of gross and histiologic findings of allergic mucin and the lack of clinical manifestations of invasive fungal sinusitis suggest saprophytic fungal growth.
  • Mycetoma, aspergilloma, or fungus ball of the sinuses: This clinical entity differs from allergic fungal sinusitis (AFS) in presentation. Rather than involving multiple sinuses, a fungus ball typically involves a single sinus, most often the maxillary antrum or sphenoid. Patients affected by this condition are not necessarily allergic and generally do not exhibit nasal polyps. On histologic examination, the material removed from the sinuses demonstrates only fungal hyphae without eosinophils. Surgery in such patients generally is curative.
  • Eosinophilic mucin sinusitis: Pansinusitis, polyposis, and mucin that is clinically indistinguishable from that of allergic fungal sinusitis (AFS) are characteristic. However, examination of mucin reveals no fungal hyphae. Allergy is not as constant a feature in this condition as it is in allergic fungal sinusitis (AFS), but asthma is observed more frequently. Ferguson has suggested that this condition may represent a variant of the Samter triad.

Epidemiology

Frequency

Approximately 5-10% of patients affected by chronic rhinosinusitis actually carry a diagnosis of allergic fungal sinusitis (AFS). Atopy is characteristic of the disease; approximately two thirds of patients report a history of allergic rhinitis, and 90% of patients demonstrate elevated specific IgE to one or more fungal antigens. Approximately 50% of patients in a series by Manning et al had asthma. No linkage to aspirin sensitivity has been established.
Incidence of allergic fungal sinusitis (AFS) appears to be impacted by geographic factors. Review of world literature reveals that most sites reporting cases of allergic fungal sinusitis (AFS) are located in temperate regions of relatively high humidity. However, incidence of allergic fungal sinusitis (AFS) varied remarkably based on the location of reporting sites. Allergic fungal sinusitis (AFS) in the United States was encountered most commonly within the Mississippi basin, the Southeast, and the Southwest. The reason for this geographic difference remains unexplained.
Allergic fungal sinusitis (AFS) is most common among adolescents and young adults; the mean age at diagnosis is 21.9 years. The male-to-female (M/F) ratio of allergic fungal sinusitis (AFS) differs slightly between published reports but is believed to be equal when all ages are evaluated together. A literature review of 98 cases in the 1980s and early 1990s from 29 published journal articles reported an equal M/F incidence. A review by the author and colleagues of 151 patients at the University of Texas (UT) at Southwestern also revealed an equal M/F ratio, with ages ranging from 5-75 years.[8]
However, the M/F ratio may be age dependent and different in children and adults. In the review of patients at UT Southwestern, in children, males dominated (M/F ratio 2.1:1; average age, 13 y), and in adults, females dominated (M/F ratio 1:1.4; average age, 36 y). When evaluating the average ages and sex ratios of other studies, series with younger average ages are more likely to have a male predominance. The average ages in the male-dominated series were 25 and 27 years, while the average age in the female-dominated series was 33 years. The only other pediatric series consisted of 10 patients and had an M/F ratio of 1.5:1, with a mean age of 13.6 years. Interestingly, when 2 series of patients from a single institution were reviewed over time, an early study had an M/F ratio of 1.5:1, with an age range of 13-51 years (average age, 27.5 y), and a later review had an M/F ratio of 1:1.4, with an age range of 13-69 years (no average age given).

Etiology

Most rhinologists believe that allergic fungal sinusitis (AFS) is an allergic reaction to fungi, in which fungal debris, allergic mucin, and nasal polyposes are formed in the nasal cavity and paranasal sinuses. The causative fungi in allergic fungal sinusitis (AFS) are usually dematiaceous fungi, consisting of the genera Bipolaris, Curvularia, Exserohilum, Alternaria, Drechslera, Helminthosporium, and Fusarium,with a small component of allergic fungal sinusitis (AFS) caused by Aspergillus. In a 1996 review of English literature performed by Manning, 263 cases of allergic fungal sinusitis (AFS) were identified, of which 168 cases yielded positive fungal cultures. Of these 168 positive cultures, 87% were from the dematiaceous genera, while only 13% yielded Aspergillus.
The largest reported single institutional experience to date is at the UT Southwestern Medical Center in Dallas, Texas. The fungi recovered from the paranasal sinuses in that evaluation by the author and colleagues revealed thatBipolaris, followed by Curvularia, is the most common pathogen present, seen with similar incidence in adults and children, see Table 1 below. Most large reviews agree, indicating that Bipolaris and Curvularia species are the most common fungi recovered.
When geographic location is specifically reviewed, the further west and inland the series, the more likely that Bipolaris species dominated the fungi recovered. When the series was performed in the Southeast, Curvularia species were more likely to be recovered. Interestingly, in the UT Southwestern experience, Aspergillus was recovered in 13% of adults but in no children. A report from India found onlyAspergillus species identified in all 11 patients with allergic fungal sinusitis (AFS) in whom fungus was recovered.
Table 1. Causative Fungus Identified at UT Southwestern Medical Center (Open Table in a new window)
FungusChildren (n=44)Adults (n=107)
Bipolaris21 (66%, 21/32)40 (57%, 40/70)
Curvularia7 (22%, 7/32)12 (17%, 12/70)
Exserohilum22
Alternaria13
Aspergillus (niger/flavus)09 (13%)
Acremonium01
Chrysosporium01
Helminthosporium01
No Growth221
No Data1216
CombinationBipolaris/CurvulariaAspergillus/Acremonium
Controversy has existed over whether the disease is infectious or allergic. Manning and Holman objectively addressed this controversy in 2 separate studies.[9] In the first study, 8 patients with culture-positive Bipolaris allergic fungal sinusitis (AFS) were prospectively compared with 10 control subjects who did not have allergic fungal sinusitis (AFS). Both groups were evaluated with (1) radioallergosorbent test (RAST) and enzyme-linked immunosorbent assay (ELISA) inhibition to Bipolaris -specific IgE and IgG antibodies and (2) skin testing withBipolaris antigen. All 8 patients had positive skin test reactions to Bipolarisantigen and positive RAST and ELISA inhibition to Bipolaris -specific IgE and IgG. Eight of the 10 control subjects had negative results on both skin and serologic testing, implicating the importance of allergy to fungal antigens (both in vivo and in vitro) in the pathophysiology of allergic fungal sinusitis (AFS).
In a complementary study, sinus mucosal specimens from 14 patients with allergic fungal sinusitis (AFS) were compared with those from 10 control subjects who did not have allergic fungal sinusitis (AFS). Immunohistochemical analysis for eosinophilic mediators (major basic protein and eosinophilic-derived neurotoxin) and a neutrophil-derived mediator (neutrophil elastase) was performed to assess the underlying nature of inflammation. Eosinophilic-derived mediators were much more common (P< 0.00001) than neutrophil-derived mediators in the allergic fungal sinusitis (AFS) group, whereas significant differences were not observed in the control group. The predominance of eosinophilic-derived mediators further supports the association between noninfectious (ie, allergic) inflammation and allergic fungal sinusitis (AFS).
The concept of eosinophilic activation associated with allergic fungal sinusitis (AFS) was further emphasized by Feger et al, who studied eosinophilic cationic protein levels in the serum and mucin of patients with allergic fungal sinusitis (AFS). No differences in serum eosinophilic cationic protein were detected between patients with allergic fungal sinusitis (AFS) and control subjects, but eosinophilic cationic protein levels were significantly higher in the mucin of patients with allergic fungal sinusitis (AFS); P < 0.01).
Studies such as those by Manning et al and Feger et al offer strong immunologic and histologic data to support the argument that allergic fungal sinusitis (AFS) represents an immunologically mediated disorder rather than a point on the spectrum of infectious fungal disease.[10]

Pathophysiology

Currently, the pathophysiology of allergic fungal sinusitis (AFS) is postulated to be similar to that of allergic bronchopulmonary fungal disease (a term replacing bronchopulmonary aspergillosis). Manning and colleagues have suggested that several interrelated factors and events lead to the development and perpetuation of allergic fungal sinusitis (AFS). First, an atopic host is exposed to fungi, theoretically via normal nasal respiration, which provides the initial antigenic stimulus. An initial inflammatory response ensues as the result of both a Gell and Coombs type I (IgE-mediated) and type III (immune complex–mediated) reaction, causing subsequent tissue edema. The resulting obstruction of sinus ostia, which may be accentuated by anatomic factors such as septal deviation or turbinate hypertrophy, results in stasis within the sinuses. This creates an ideal environment for further proliferation of the fungus, thus increasing the antigenic exposure to which the host is allergic.
At some point, the cycle becomes self-perpetuating, resulting in the eventual product of this process, allergic mucin, the material that fills the involved sinuses of patients with allergic fungal sinusitis (AFS). Accumulation of this debris obstructs the involved sinuses and propagates the process.
The production of this allergic mucin and its eventual clinical, histologic, and radiographic characteristics are unique to allergic fungal sinusitis (AFS) and serve as a hallmark of the disease. Grossly, allergic fungal mucin is thick, tenacious, and highly viscous. Its color may vary from light tan to brown or dark green, as depicted in the images below. Its characteristic gross appearance has resulted in the use of such descriptive terms as peanut butter and axle grease when referring to allergic fungal mucin.
Left middle meatus with suctioning of thick allergLeft middle meatus with suctioning of thick allergic mucin from the ethmoid bulla in the center of the picture; the end of the suction is in the inferior portion of the picture.The viscosity of a thick allergic mucin being suctThe viscosity of a thick allergic mucin being suctioned from the nasal cavity and vestibule in a patient with allergic fungal sinusitis.

Presentation

Patients with allergic fungal sinusitis (AFS) normally present with signs and symptoms of nasal airway obstruction, allergic rhinitis, or chronic sinusitis that includes nasal congestion, purulent rhinorrhea, postnasal drainage, or headaches. Often, presentation of allergic fungal sinusitis (AFS) is subtle. Patients typically complain of gradual nasal airway obstruction and production of semi-solid nasal crusts that, upon inquiry, match the gross description of allergic fungal mucin. Development of nasal airway obstruction may have been so gradual that the patient is unaware of its presence. Because of the slow progression of allergic fungal sinusitis (AFS), if facial dysmorphia is present, its progression often is so slow that it is unrecognized by the patient and family members. Pain is uncommon among patients with allergic fungal sinusitis (AFS) and suggests the concomitant presence of a bacterial rhinosinusitis.
Patients with allergic fungal sinusitis (AFS) are atopic, but generally their symptoms have been unresponsive to antihistamines, intranasal corticosteroids, and prior immunotherapy. Use of systemic corticosteroids may produce some relief of symptoms, but relapse is typical following completion of therapy. In contrast to patients who have invasive fungal sinusitis, patients with allergic fungal sinusitis (AFS) always are immunocompetent.
The range of physical findings on examination is typically broad, from nasal airway obstruction resulting from intranasal inflammation and polyposis, as depicted in the 1st image below, to gross facial disfigurement and orbital or ocular abnormalities. The author and colleagues reported that facial dysmorphism, consisting of proptosis, as depicted in the 2nd image below, telecanthus, and malar flattening, more often was seen in children than in adults (42% vs 10%) in their series of 151 patients, including 107 adults aged 18 years or older and 44 children aged 17 years or younger, as depicted in Table 2 below.
View just inside the nasal vestibule showing diffuView just inside the nasal vestibule showing diffused polyposis extending into the anterior nasal cavity and vestibule; the septum is on the right, and the right lateral vestibular wall (nasal ala) is on the left. The polyps all are in the center. The polyps almost hang out of the nasal vestibule.A 15-year-old boy with allergic fungal sinusitis cA 15-year-old boy with allergic fungal sinusitis causing right proptosis, telecanthus, and malar flattening; the position of his eyes is asymmetrical, and his nasal ala on the right is pushed inferiorly compared to the left.A 9-year-old girl with allergic fungal sinusitis dA 9-year-old girl with allergic fungal sinusitis displaying telecanthus and asymmetrical positioning of her eyes and globes.
Usually, when proptosis was present in patients in this study, telecanthus and malar flattening could be identified, as depicted in the 1st image above, depending on the amount of proptosis. Because development of proptosis usually occurs over long periods, no diplopia or visual loss generally is seen.
However, at times, extension of allergic fungal sinusitis (AFS) into adjacent anatomic spaces can produce a dramatic clinical presentation, such as visual loss. Visual loss from allergic fungal sinusitis (AFS) caused by compression of the ophthalmic nerve, described by Marple et al in 3 of 82 patients he encountered, was reversible with immediate surgical removal of fungal disease.[11]Return occurred over weeks to months.
Table 2. Facial Asymmetry Characteristics (Open Table in a new window)
ConditionChildrenAdults
Presence of facial asymmetry (44 children, 107 adults studied)15/36 (42%) (8 unknown)*10/103 (10%) (4 unknown)*
Proptosis (obvious) with telecanthus, with/without malar flattening8/157/10
Proptosis (measured, not obvious, £2 mm)0/152/10
Telecanthus alone6/151/10
Malar flattening alone1/150/10
*Not all initial clinical records mention the presence or absence of facial asymmetry or vision problems.

Indications

All patients with allergic fungal sinusitis (AFS) should undergo surgical debridement of their sinuses. The inciting fungal antigen must be removed for immunotherapy to be successful. Any recurrent disease also should be surgically removed.

Relevant Anatomy

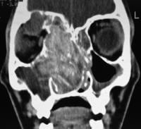
Relevant anatomy is the same as in any endoscopic sinus surgery procedure. Often, anatomy is distorted because of expansion of the sinuses secondary to the disease process. The lateral nasal wall is pushed medially, obliterating the nasal cavity on the affected side, and the inferior and middle turbinates are pushed inferomedially, as depicted in the 1st two images below. If the ethmoid sinuses are involved, the roof often is expanded superiorly into the anterior cranial fossa, and the lateral wall is expanded into the orbit, as depicted in the last image below.
A 9-year-old girl with allergic fungal sinusitis dA 9-year-old girl with allergic fungal sinusitis displaying telecanthus and asymmetrical positioning of her eyes and globes.Coronal CT scan showing extensive allergic fungal Coronal CT scan showing extensive allergic fungal sinusitis involving the right side with mucocele above the right orbit and expansion of the sinuses on the right.Typical view of a middle meatus in a patient with Typical view of a middle meatus in a patient with allergic fungal sinusitis with expansion of the ethmoid complex and extension of the middle turbinate more inferiorly. This is a postoperative view.

Contraindications

No specific contraindications exist to surgical removal of fungal debris and polyps in patients with allergic fungal sinusitis (AFS). Normally, these patients are healthy immunocompetent individuals.